こんにちは!メープル矯正歯科の山口です。
歯列矯正を検討するとき、費用や痛み、治療期間などもありますが、多くの方が「どの装置を選ぶべきか?」ということも気になるかと思います。

近年はインビザラインなどのマウスピース型矯正装置の普及により、矯正治療の選択肢が広がっています。一方で、従来からある「ワイヤー矯正(ブラケット矯正)」も根強い実績があり、迷われる方も多くいらっしゃいます。


今回は、インビザラインなどのアライナー矯正とワイヤー矯正の違いをわかりやすく比較しながら、それぞれの特徴やメリット・デメリットについて解説していきます。
① 見た目の違い
まず一番大きな違いは、見た目の自然さです。
・アライナー矯正:透明なマウスピース型の装置を歯に装着するため、装置が目立ちにくく、装着していても気づかれにくいのが特長です。
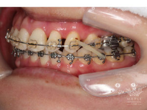
・ワイヤー矯正:歯の表面に金属やセラミックのブラケットを装着し、ワイヤーで歯を動かします。前歯の表側につけるため、どうしても見た目には装置が見えてしまいます。
仕事や接客、学校生活など、人前に出る機会が多い方にはインビザラインが圧倒的に人気です。ただ、舌側矯正のようにブラケットを歯の裏側に装着するワイヤー矯正もあるので、しっかりとコントロールしながら治療を受けたいという人は舌側矯正を希望されます。
② 取り外しの可否
・アライナー矯正:患者さん自身でマウスピースを取り外すことができます。食事の際や歯みがきのときは装置を外せるため、普段どおりに食事ができ、歯のお手入れも簡単です。
・ワイヤー矯正:常に装置が固定されているため、食事中も装着されたまま。装置の周りに食べ物が詰まりやすく、歯みがきに工夫が必要です。
インビザラインは、衛生管理がしやすい点でも大きなメリットがあります。ただし、患者さん自身の自己管理(装着時間の維持)がとても重要です。
③ 痛みや違和感
・アライナー矯正:マウスピースは滑らかな素材でできており、装置による口内炎のリスクが少ないと言われています。
・ワイヤー矯正:装置が唇や頬の内側に当たり、口内炎ができることも。調整後数日は歯の移動にともなう痛みを強く感じる方もいます。ただし、歯一本一本オーダーメイドで治療するため、締め付けの力を弱くしたり、コントロールできるという点もあります。
どちらも「痛みゼロ」というわけではありませんが、快適性の面ではアライナー矯正のほうが優れているという意見が多くあります。
④ 通院頻度と治療の自由度
・アライナー矯正:基本的に1〜2か月に一度の通院でOK。計画どおりにマウスピースを交換していけば治療が進みます。急な用事や旅行などにも柔軟に対応しやすいのが魅力です。
・ワイヤー矯正:ワイヤーの調整のため、月1回程度の定期通院が必要です。また、装置の破損やワイヤーの飛び出しなどで臨時の通院が必要になることもあります。
忙しい社会人や学生にとって、スケジュールの自由度はインビザラインの方が高いといえるでしょう。
⑤ 適応できる症例の範囲
・アライナー矯正:軽度~中等度の歯並びに適しており、症例によってはワイヤー矯正のほうが適している場合もあります。ただし、現在では技術進化により、抜歯ケースや複雑な症例にも対応できるようになってきています。
・ワイヤー矯正:重度のガタガタ(叢生)や顎のズレを伴うケースなど、幅広い症例に対応可能。精密なコントロールがしやすく、難症例にも向いています。
精密な診断を行い、アライナー矯正単独で可能か、他の治療と併用する必要があるかを判断することが重要です。
⑥ 費用の違い
費用は医院や症例の難易度によって異なりますが、一般的にはアライナー矯正の方がワイヤー矯正より料金はかかります。
ただし、アライナー矯正では「分割マウスピース作成による治療期間の延長」や「再設計(再スキャン)」が必要になった場合、追加費用がかかる医院もあります。
ワイヤー矯正は、通院回数や装置の種類(メタル・セラミック・舌側矯正)で価格が変動します。
事前に費用の説明をしっかり受けてから判断しましょう。
まとめ|自分に合った矯正を選ぶために大切なこと

インビザラインとワイヤー矯正は、それぞれにメリット・デメリットがあります。
・見た目の自然さや快適さを重視したい方にはインビザライン
・難症例にもしっかり対応したい方にはワイヤー矯正
といった傾向はありますが、最終的な判断で最も大切なのは「正確な診断と治療計画」です。
矯正治療は、ただ歯を並べるだけではありません。
噛み合わせ、骨格、筋肉、歯の大きさ、習癖、将来の歯の健康までを含めて診断し、治療後の安定性まで考慮した設計が必要です。
また、治療の途中で歯の動きが計画通りに進まなかった場合にも、柔軟に対応しながら軌道修正できる経験と体制がある医院を選ぶことがとても重要です。
見た目の違いや装置の特徴だけで判断するのではなく、「診断力」「サポート体制」「専門性」を基準にして、あなたに最適な治療法を選ぶことが、後悔のない矯正治療につながります。
メープル矯正歯科では、矯正歯科専門として、精密な検査とシミュレーションをもとに、一人ひとりに合った治療法をご提案しています。
「インビザラインかワイヤーか迷っている」という方も、まずはお気軽にご相談ください。専門家の視点で、納得のいく選択ができるようサポートいたします。